-
¿Cómo podemos evitar la tensión de los pacientes al utilizar un dispositivo localizador de venas?
Nov 21 , 2025
1) Guión de comunicación: Transformar lo desconocido en cognoscible La tensión del paciente se debe principalmente al miedo a equipos y procesos desconocidos. Sus palabras son la primera línea de defensa contra el miedo. 1. Popularizar la introducción del equipo (evitar el uso de términos médicos): No diga: "Ahora estamos usando un generador de imágenes venosas por ultrasonido para encontrar sus v...
Lee mas
-
¿Cómo puede el buscador de venas complementar el flujo de trabajo de la medicina oftálmica y los equipos de imágenes?
Nov 27 , 2025
1) Valor fundamental: Proporcionar un "mapa vascular de superficie" único Los equipos de imágenes oftálmicas (como la OCT) se centran en la estructura vascular microscópica del fondo (retina, coroides), mientras que los detectores venosos son adecuados para visualizar de forma no invasiva la red vascular en la superficie ocular y alrededor del ojo, especialmente: Los vasos sanguíneos de la escleró...
Lee mas
-
¿Cómo evaluar la efectividad clínica antes de comprar un detector de venas?
Dec 09 , 2025
I. Evaluación del desempeño de la tecnología central 1. Calidad y claridad de la imagen Resolución y contraste: Si las imágenes de venas generadas por el dispositivo son claras y pueden distinguir claramente las venas de los tejidos circundantes (como la grasa y los pigmentos de la piel). Profundidad de penetración y adaptabilidad: si el efecto de imágenes venosas es estable y confiable para pacie...
Lee mas
-
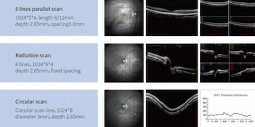
IA + OCT: ¿Cómo puede la inteligencia artificial ayudar a los oftalmólogos a diagnosticar con mayor rapidez y precisión?
Dec 09 , 2025
La combinación de inteligencia artificial (IA) y tomografía de coherencia óptica (OCT) Está revolucionando el modelo diagnóstico de las enfermedades oftálmicas. La clave de esta integración reside en combinar las potentes capacidades de análisis de datos de la IA con la imagenología de alta resolución de la estructura tisular biológica de la OCT, proporcionando así a los médicos información que su...
Lee mas
-
Guía de mantenimiento del buscador de venas: vida útil, calibración y durabilidad.
Dec 19 , 2025
1. Vida útil: La vida útil diseñada para la mayoría de los productos de calidad profesional ve en el buscador Por lo general, dura alrededor de cinco años. Bata vida cotidiana El rendimiento de las baterías internas de litio suele disminuir después de 300 a 500 ciclos completos de carga y descarga. Se recomienda mantener la batería cargada para evitar su descarga completa a largo plazo. Vida útil ...
Lee mas
-
Alivio de la fobia a las agujas: ¿Cómo ayuda la tecnología Vein Finder a los pacientes ansiosos?
Jan 14 , 2026
Aquí es donde la tecnología de visualización de venas (Vein Finders) está revolucionando el panorama. Más allá de la simple localización de venas, estos dispositivos se están convirtiendo en herramientas esenciales para la comodidad psicológica y la fidelización de los pacientes. 1️⃣ The Science of Fear: Why "First-Stick Success" Matters Anxiety often stems from the fear of pain and the "unknown."...
Lee mas
-
Detección temprana de la retinopatía diabética mediante imágenes OCT
Jan 22 , 2026
1) Métodos de detección tradicionales y sus limitaciones Tradicionalmente, el cribado y la estadificación de la RD se basaban principalmente en la fotografía a color del fondo de ojo para observar lesiones superficiales bidimensionales, como microaneurismas retinianos, hemorragias y exudaciones. Sin embargo, este método presenta limitaciones: Fuerte subjetividad: confiar en la experiencia del médi...
Lee mas
-
¿Qué tan profundo puede ver un detector de venas médico?
Jan 27 , 2026
1. Profundidad de detección principal Profundidad general: la mayoría de los dispositivos pueden detectar venas de 0,2 a 1,0 cm debajo de la piel, pero el rango de imagen efectivo real generalmente se concentra en las venas más superficiales debajo de la piel (0,2 a 1,0 cm). Mejor efecto: para las venas superficiales claramente visibles (como el dorso de la mano y el antebrazo), el efecto de image...
Lee mas
-
What are the differences among some different vein finder?
Feb 10 , 2026
A la hora de hacer una elección también hay que tener en cuenta las siguientes diferencias: 1. Modo de visualización Visión/proyección directa: Proyecta la imagen vascular directamente sobre la piel del paciente. La ventaja es que el operador no necesita desviar la mirada y sus manos y ojos están en perfecta coordinación. La desventaja es que la proyección puede deformarse debido a la superficie c...
Lee mas